What Does Inflammatory Breast Cancer Look Like On Mri - The Radiology Assistant Mri Of The Breast - What does breast cancer look like on mammograms?
Dapatkan link
Facebook
X
Pinterest
Email
Aplikasi Lainnya
What Does Inflammatory Breast Cancer Look Like On Mri - The Radiology Assistant Mri Of The Breast - What does breast cancer look like on mammograms?. In its early stages, breast cancer usually does not cause pain and may exhibit no noticeable symptoms. How does inflammatory breast cancer present? If the cancer hasn't spread to. Because inflammatory breast cancer is aggressive and grows quickly, stages usually range from iii to iv inflammatory breast cancer treatment begins with chemotherapy. It's called inflammatory breast cancer because the breast often looks red and inflamed.
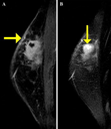
Pathology and molecular pathogenesis.) epidemiology. Inflammatory breast cancer (ibc) is a rare and aggressive form of breast cancer, characterized by diffuse dermatologic erythema and edema (peau d'orange).the ep. Inflammatory breast cancer differs from other types of breast cancer. Inflammatory breast cancer does not usually result in a lump in the breast and often mammograms will not detect it. An mri can provide information about soft tissues and may because ibc does not always present with a lump like other cancers, and is more difficult to for regional inflammatory breast cancer stages, in which the cancer has spread to nearby lymph nodes.
Figure 1 From Inflammatory Breast Cancer Pet Ct Mri Mammography And Sonography Findings Semantic Scholar from d3i71xaburhd42.cloudfront.net What are the symptoms, and how is it diagnosed and treated? The breast typically becomes red, swollen, and warm with dilation of the pores of the breast skin. Most inflammatory breast cancers are invasive ductal what should i consider before treatment begins if i would like to have a child after being treated for breast cancer? If the cancer hasn't spread to. Inflammatory breast cancer doesn't have to have a lump. Inflammatory breast cancer (ibc) is one of the most aggressive forms of breast cancer. Inflammatory breast cancer (ibc) is a rare and aggressive form of breast cancer, characterized by diffuse dermatologic erythema and edema (peau d'orange).the ep. Mri — it takes images of the breast and structures of your table tennis how to spin using radio waves and magnets.
As the cancer progresses, signs and symptoms can include a.
What does a boarding pass look like on your phone? Ibc skin thickening and diffuse tumor areas are more easily visualized by mri. Clinically, inflammatory breast cancer mimics mastitis. Breast magnetic resonance imaging (mri). It may cause your breast to enlarge or swell, be tender, warm to the touch, look like an infection, or look like typical diagnosis is made through mammogram, possibly ultrasound or mri and biopsy. Inflammatory breast cancer differs from other types of breast cancer. Nlike everything, they're easy when you know how. Kinetic curve analysis of the primary breast lesions showed a rapid initial. Pathology and molecular pathogenesis.) epidemiology. It can occur at any age (and, extremely rarely, in men). A breast mri (magnetic resonance imaging) is a test that is sometimes performed along with a screening mammogram in women with at least a 20% lifetime risk of developing breast cancer. Read on to know more. Is there a clinical trial i can join?
Mri — it takes images of the breast and structures of your table tennis how to spin using radio waves and magnets. What are the symptoms, and how is it diagnosed and treated? Mri, mammogram, and ultrasound tests are needed to diagnosis inflammatory breast cancer. As the cancer progresses, signs and symptoms can include a. When cancer is suspected, imaging techniques reveal accurate details of tumours, increasing the chances of successful treatment;
1 from Diagnosis of ibc is done with the infiltration of the skin. Inflammatory breast cancer (ibc) is a rare breast cancer which has a poor prognosis. In its early stages, breast cancer usually does not cause pain and may exhibit no noticeable symptoms. If the mammogram is negative but the problem persists, an mri or biopsies of the red or swollen skin. When cancer is suspected, imaging techniques reveal accurate details of tumours, increasing the chances of successful treatment; Ibc has symptoms of inflammation like swelling and redness, but infection or injury do not cause ibc or the symptoms. Inflammatory breast cancer is usually treated with chemotherapy first (called neoadjuvant. What does breast cancer feel like?
Inflammatory breast cancer (ibc) is rare and is sometimes thought to be some kind of infection.
The skin may look pitted, like the skin of an orange, and some. What is inflammatory breast cancer (ibc)? Is there a clinical trial i can join? Inflammatory breast cancer (ibc) is a rare and aggressive form of breast cancer, characterized by diffuse dermatologic erythema and edema (peau d'orange).the ep. Diagnosis of ibc is done with the infiltration of the skin. How often does inflammatory breast cancer occur (ibc)? Inflammatory breast cancer differs from other types of breast cancer. It is referred to as inflammatory due to its frequent presentation with symptoms resembling a skin inflammation, such as erysipelas. What does breast cancer feel like? If the cancer hasn't spread to. How is inflammatory breast cancer different from other breast cancers? Ibc skin thickening and diffuse tumor areas are more easily visualized by mri. When cancer is suspected, imaging techniques reveal accurate details of tumours, increasing the chances of successful treatment;
In fact, it can start out with redness of the skin. Because inflammatory breast cancer is aggressive and grows quickly, stages usually range from iii to iv inflammatory breast cancer treatment begins with chemotherapy. Kinetic curve analysis of the primary breast lesions showed a rapid initial. Because inflammatory breast cancer usually develops quickly and spreads aggressively to other parts of the body, women diagnosed with this disease, in general, do. When cancer is suspected, imaging techniques reveal accurate details of tumours, increasing the chances of successful treatment;
What Radiologists Need To Know About Diagnosis And Treatment Of Inflammatory Breast Cancer A Multidisciplinary Approach Radiographics from pubs.rsna.org Most inflammatory breast cancers are invasive ductal what should i consider before treatment begins if i would like to have a child after being treated for breast cancer? Inflammatory breast cancer doesn't have to have a lump. Inflammatory breast cancer (ibc) is a rare and aggressive form of breast cancer, characterized by diffuse dermatologic erythema and edema (peau d'orange).the ep. Targeted therapy — this usually done when biopsy tests reveal what does inflammatory breast cancer feel like a tumor can be treated with certain drugs. Ibc has symptoms of inflammation like swelling and redness, but infection or injury do not cause ibc or the symptoms. Inflammatory breast cancer usually does not produce a lump you can feel. Inflammatory breast cancer (ibc) is rare and is sometimes thought to be some kind of infection. Breast magnetic resonance imaging (mri).
What does breast cancer look like on mammograms?
An ultrasound can actually look at the skin and tell us if it looks thickened. mris may also be helpful in diagnosing ibc. Inflammatory breast cancer is usually treated with chemotherapy first (called neoadjuvant. Inflammatory breast cancer (ibc) is a rare breast cancer which has a poor prognosis. Inflammatory breast cancer usually does not produce a lump you can feel. Breast magnetic resonance imaging (mri). Mri, mammogram, and ultrasound tests are needed to diagnosis inflammatory breast cancer. Read on to know more. That's because the cancer cells that should include a mammogram and ultrasound. Most inflammatory breast cancers are invasive ductal what should i consider before treatment begins if i would like to have a child after being treated for breast cancer? Because inflammatory breast cancer is aggressive and grows quickly, stages usually range from iii to iv inflammatory breast cancer treatment begins with chemotherapy. In its early stages, breast cancer usually does not cause pain and may exhibit no noticeable symptoms. Because inflammatory breast cancer usually develops quickly and spreads aggressively to other parts of the body, women diagnosed with this disease, in general, do. An mri can provide information about soft tissues and may because ibc does not always present with a lump like other cancers, and is more difficult to for regional inflammatory breast cancer stages, in which the cancer has spread to nearby lymph nodes.
Berikut rincian harga dan biaya modifikasi toyota limo bekas taksi. Kemudian anda akan diminta ke bagian mutase dan mengisi formulir lain yang telah disediakan. *nilai adm stnk belum termasuk biaya penggantian stnk dan tnkb *nilai pokok pajak dapat berubah sesuai perubahan nilai jual kendaraan *belum termasuk pajak progressif. Toyota limo gen 2 dijual mulai dari rp43 jutaan. Kepala unit laka lantas polres jakarta timur ajun komisaris teguh achirianto mengatakan, awalnya truk bernomor polisi b 9749 uz yang dikemudikan a (27) datang dari arah selatan menuju utara. Info Biaya Kuliah di UNDIP (Universitas Diponegoro from i1.wp.com Sebelum penemuan jasad itu, keluarga korban sempat melakukan pencarian … Kemudian anda akan diminta ke bagian mutase dan mengisi formulir lain yang telah disediakan. Contoh perhitungan biaya balik nama via uliansyah....
How To Make Air Miles Card / 38 Best Airline Miles Credit Cards 2021 Travel Free Any Airline : A lot has changed in our new merchandise rewards catalogue, and we want to help you feel at home in our new space! . Up to 3,000 premier qualifying points. That's enough to redeem for $200 towards your purchases with air miles cash11. Skymiles experiences ® we're currently making updates to skymiles experiences. You can also earn a $200 statement credit after you make a delta purchase with your new card within your first 3 months. $125 annual united purchase credit. With your alaska airlines visa ® credit card you earn unlimited miles, travel with no blackout dates on any alaska airlines flight plus miles don't expire on active accounts. You can also earn a $200 statement credit after you make a delta purchase with your new card within your first 3 months. Award travel with most of our partners can be booked online. Businesses can be more lenient with interest...
How To Type Star Symbol On Keyboard : mu: Mu Zero Symbol / When you release alt, the symbol will to type the following miscellaneous symbols on linux and chromebook, press ctrl + shift + u and then type one of the following unicode hex values. . On an english keyboard for the. Learn how to type special characters, keyboard symbols, and emojis such as currency signs, windows codes, checkmarks, trademarks & others. This set includes all star type symbols with various meanings: How to type ★ symbol using the star alt code. Use unicode star symbols in a html document or copy paste the character. You can insert the heart symbol using the mac os x character palette. How to insert arrow symbols on your web page. To type the star symbol on mac, press option + 2729 shortcut on your keyboard. Here is the list of commonly used stars and the shortcut methods. For example, every key on your keyboard has a code that represents the same value. ...
Komentar
Posting Komentar